Fabry Disease Heart Symptoms

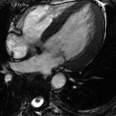
The cardiac MRI scan at the left reveals an enlarged heart, left ventricular hypertrophy (LVH) and scar tissue in the left ventricle wall as a result of Fabry disease. Periodic cardiac MRI scans at 18 months on enzyme replacement therapy (ERT), 24 months on ERT, and 30 months on ERT indicate significant reduction in heart volume and left ventricle wall thickness improving with each subsequent scan. The image at the right shows the same approximately 50-year-old male's heart with normal heart function despite reduced yet persistent LVH. This individual had been on ERT for 5 years at the time of this entry.
Heart complications are common among individuals with Fabry disease and are a key cause of premature death. Cardiac events are caused both by the direct results of Fabry disease and by the secondary results of cardiovascular disease associated with kidney dialysis common among individuals with Fabry disease.
A key symptom of Fabry disease is LVH often without any major outflow obstruction or a history of high blood pressure. These factors associated with the unexplained LVH should alert physicians to search for the underlying cause, in this case, Fabry disease, but often do not lead to a diagnosis. In various studies, approximately 3 to 12% of individuals with unexplained LVH have Fabry disease. Reduced ejection fraction accompanied by clinical signs of congestive heart failure can also be seen in advanced stages of the disease.
Conduction system abnormalities caused by Fabry disease often lead to potentially life-threatening arrhythmias. Studies show that approximately 10 to 20% of affected individuals require pace-makers to regulate heart function.
Lipid (GL-3) accumulation itself is not a significant contributor to heart enlargement or increased thickness in the left ventricle wall. Other factors including inflammation and dysfunction of hormones acting on the nervous system are thought to be the stimulus for the cardiac hypertrophy (heart enlargement).

Raynaud's phenomenon (secondary Raynaud's) is associated with the heart and vascular systems. Raynaud's phenomenon and vasospastic reactions (vessel spasm and constriction) are common observations among individuals with Fabry disease. The signs of Raynaud's phenomenon are discoloration of the fingers and toes, and occasionally other extremities. The cause of the phenomenon is unknown, but emotional stress and cold are common triggers.


Connect With Us